Free Smile Analysis

Why do we provide FREE Virtual Smile Assessments?

Because we know you’re busy! Quality treatment, convenience and exceptional experiences are our top priorities at Friend Family and Cosmetic Dentistry. Our Virtual Smile Assessment gives you the advantage and convenience of starting to smile with confidence from the comfort of your own home.

If you can take a selfie, you can get answers quickly!

It’s easy! Just send us 4 photos and tell us 2 things you don’t like about your smile. Within 24-48 hours, we’ll send you potential treatment options and a link to schedule your complimentary smile consultation.

Your 4 photos away from a beautiful smile!

Let’s get started! You may want to grab a friend to help out.

Dentist 20688

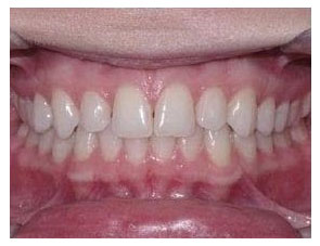
Step 1: Bite your teeth together, hold your lips out of the way and take a SELFIE.

Solomons MD Cosmetic Dentist

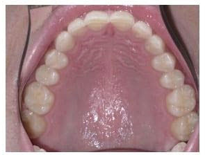
Step 2: Lean your head back, hold your lips out of the way and take a SELFIE of your top teeth.

Dentist in Solomons MD

Step 3: Tip your head down and take a SELFIE of your bottom teeth. Be sure to hold your lips out of the way and curl your tongue towards the roof of your mouth.

Dentist 20688

Step 4: Take a SELFIE. Make sure you smile!

Step 5: Fill Our the Form Below

0 MB/15 MB

Step 6: THAT'S ALL.

You're all set! Just click the Submit button below. We'll review your photos and get back to you soon with your treatment plan options.

Submit

Thank You!

We appreciate you taking the time to visit our site. We'll review your message and be in touch with you soon.

Continue